Intelligence in every question
Trusted by doctors in the largest health systems preparing for board and in-service exams.
Welcome back
Question Bank
Flashcards
Smart Review
Your Performance
Question Bank Progress
Activity Summary
| Period | Questions | Flashcards |
|---|---|---|
| Day | 23 | 15 |
| Week | 156 | 89 |
Focus Areas
Four ways we help you learn better



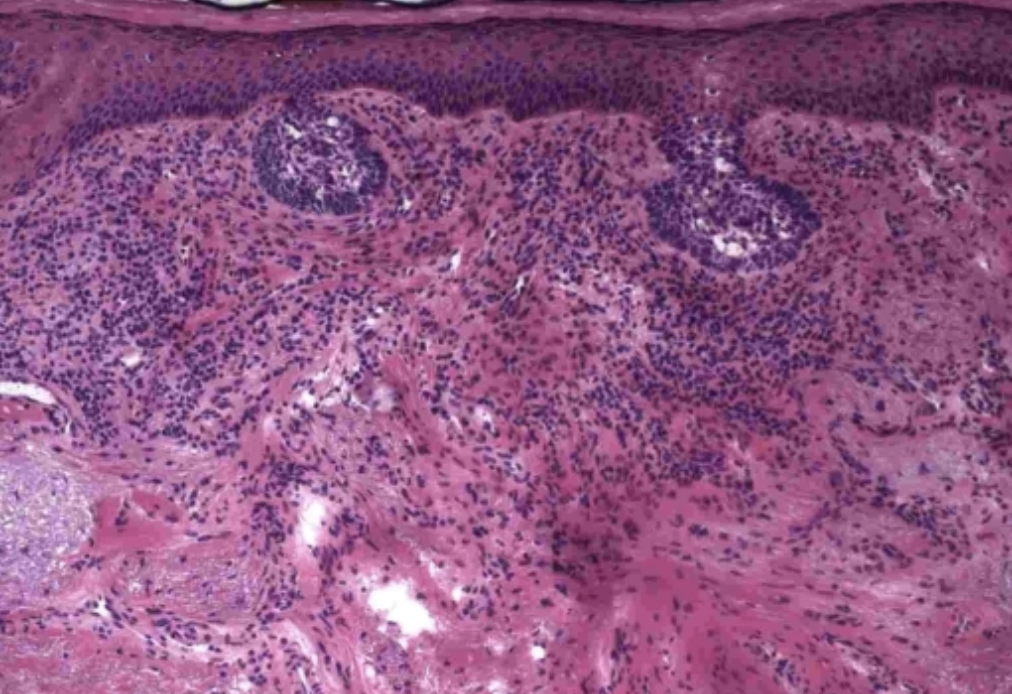
High-Quality Clinical Images
Carefully curated images including rare pathology, enhanced for optimal clarity.
Smart Review & Focus Areas
Personalized study guides and focus areas built from your missed questions.
Consult
Ask questions while you study. Powered by state-of-the-art AI models to deliver instant, contextual answers on any board topic.
Timolol is a non-selective β-blocker that can cause bronchospasm by blocking β2 receptors...
A 62-year-old patient presents with sudden painless vision loss...
In-Depth Explanations
Comprehensive explanations integrated with Consult , providing relevant insights tailored to your learning needs.
Explore the platform
See how Subspecialty has the most advanced medical education platform.
Learn more, right or wrong
A 58-year-old man with type 2 diabetes mellitus for 15 years presents with decreased vision in his right eye. Fundoscopic examination reveals dot-blot hemorrhages, hard exudates, and neovascularization at the optic disc. Optical coherence tomography shows center-involving diabetic macular edema with a central subfield thickness of 425 μm. Which of the following is the most appropriate initial treatment?
From wrong answers to smart review
AI-generated study documents built from your mistakes that grow as you practice, filling knowledge gaps with board-relevant content.
A 68-year-old man with atrial fibrillation presents with sudden, painless vision loss in his right eye that occurred 2 hours ago. Fundoscopy reveals a pale retina with a cherry-red spot at the macula. What is the most appropriate immediate management?
|
Powered by the most advanced reasoning models, get instant answers to board topics seamlessly integrated into your study workflow.
Consult
High-Quality Clinical Images
Image-based questions feature carefully curated, high-resolution clinical images to help you recognize key findings and build diagnostic confidence.





Frequently Asked Questions
Everything you need to know about Subspecialty.
We currently focus on ophthalmology with comprehensive subspecialty coverage. We are actively developing internal medicine, surgery, and pediatrics as future specialties.
We go beyond traditional question banks with AI-powered personalized learning. Our platform features auto-generated study documents that analyze your wrong answers to create targeted review materials, Consult for real-time concept clarification, and adaptive flashcards for enhanced retention. Combined with board-certified physician-authored questions mapped to exam blueprints, we deliver a comprehensive, intelligent study experience that evolves with your performance—not just static content.
We're working on collaborative study tools and a mobile app to enhance the learning experience for our users.
Smart Review automatically builds study documents from questions you get wrong, creating personalized notes focused on your knowledge gaps. Consult accompanies you throughout the entire platform, explaining and clarifying concepts or questions you have.
Basic tier gives you access to 100 questions in your selected specialty. Pro tier offers unlimited questions, flashcards, Smart Review documents, exam simulation & timed modes, and Consult . We focus on providing the most essential features for effective board exam preparation.